当院の顕微授精での工夫
当院では受精率向上のために、Piezo-ICSIと紡錘体可視化装置を導入しています。Piezo-ICSIによって、より愛護的に顕微授精操作を行うことができ、紡錘体可視化装置により顕微授精時の卵子の染色体の損傷を回避するとともに、顕微授精実施のタイミングをより最適な条件で行えるようにしています。
主な技術や工夫について
Piezo-ICSI
Piezo-ICSIは精子を卵子内に入れる際の特殊な手技です。従来のICSIより卵子に優しく、特に卵子が脆弱になっており顕微授精に耐えられなくなっている症例にも有効と言われています。
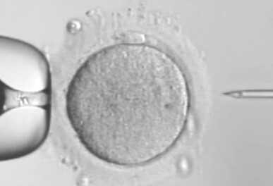
紡錘体可視化装置
顕微授精は通常、卵子の第一極体の場所を目印に、一定の方向から微細な針で精子を注入します。これは、第一極体の近くに通常ある紡錘体とよばれる染色体を含む重要な構造物をなるべく傷つけないようにするためです。しかし実際には、紡錘体が第一極体から離れて存在することもあり、第一極体の位置確認だけでは、顕微授精を行う際に紡錘体を傷つけてしまう恐れがあります。そこで当院では、紡錘体可視化装置による顕微授精を行っております。紡錘体可視化装置は、肉眼では見ることのできない紡錘体の位置を確認しながら、傷つけないように顕微授精を行うことが可能です。
また、紡錘体が観察できない場合、卵子が成熟していない場合があるため、時間をおいて再度観察し、卵子の成熟を確認してからICSIを行います。これにより、受精率をより高めることが可能となります。
ザイモート(膜構造を用いた生理学的精子選択術)
ザイモートという専用キットを用いて精子に極力負荷をかけずに良好精子(主に形や動き)を選別する技術です。体外受精・顕微授精を行う際に利用することで受精率・胚盤胞到達率・妊娠率を上げ、流産率を低下させることが期待されます。
PICSI
ヒアルロン酸を用いて成熟した精子を選別する技術です。ICSI(顕微授精)を行う際にPICSIを用いて成熟した精子(主に質や受精能)を選別することで受精率・妊娠率を上げ、流産率を低下させる効果が期待されます。
Step4 胚培養
受精後、胚はインキュベーターで最大7日間培養します。体外受精において、卵子・胚は採卵から胚移植、胚凍結まで、管理された最適な環境で培養しなければなりません。培養室の質の維持は、培養成績に直結するため非常に大切です。そのためインキュベーター管理を徹底し、胚培養液、培養に使用するオイルもより最適なものを選択しています。また非常用電源をビルとクリニックの2重に備えていますので、万一の停電に対しても培養室、採卵室への電力供給が直ぐに途絶える心配はありません。
Step5 胚凍結
採卵後すぐに移植するよりも一度全胚凍結(移植できるグレードの受精卵をすべて凍結する)して、次の周期以降で凍結融解胚移植を行うほうが妊娠率が安定しており、OHSS(卵巣過剰刺激症候群)のリスクも少ないので、基本全胚凍結としています。
胚凍結法(ガラス化保存法)
胚の凍結保存はガラス化保存法で行います。ガラス化保存法では、凍結保護剤を使用し、胚が入っている凍結液を直接液体窒素に接触させごく短時間で胚を凍結します。融解後の胚生存率は95~99%です。2023年に、日本で生まれた体外受精児(85,048人)のうち、95%が凍結融解胚移植により生まれてきています。
Step6 胚移植
受精卵が移植可能な状態に成長できたら移植を行います。移植は細いカテーテルで行いますので、痛みは感じない方がほとんどです。採卵周期にそのまま移植を行う新鮮胚移植と、受精卵を凍結し次周期以降に胚移植を行う凍結融解胚移植があり、当院では妊娠率や安全性の観点から、凍結融解胚盤胞移植を原則としております。
凍結してある胚を移植する時期はいつでもいいわけではなく子宮内膜の状態と胚の時間を一致させる必要がありますので、ホルモン補充周期または自然周期により子宮内膜を調整し胚移植を行います。ホルモン補充周期はご自身の卵巣は休んでいただき完全に薬でコントロールする方法、自然周期はご自身の排卵後の自然なホルモンバランスを利用する方法です。
妊娠率はどちらの方法でも変わりませんが、それぞれ利点と欠点がありますので患者さまのご希望の方法で移植しています。
ホルモン補充周期
卵胞ホルモンと黄体ホルモンによりホルモン補充を行い、子宮内膜を着床に適した状態にする方法です。
- 近年、ホルモン補充周期は、自然周期に比べ妊娠高血圧症候群、癒着胎盤、帝王切開のリスクが増加する傾向にあるとの報告があります。
- ホルモンでコントロールするため通院が最低限で済み、日程調整がしやすく移植キャンセルの可能性が少ない点がメリットです。
- デメリットとしてはテープや膣錠の副作用(皮膚のかぶれなど)が起こる可能性やホルモン剤使用の手間やコストがかかること、周産期のリスクがやや上昇する点が挙げられます。
- 妊娠判定が陽性となった場合、自力でホルモンが十分出せるようになる妊娠9週の終わりまでホルモンの補充を続けます。その前にやめると流産につながりますのでご注意ください。
自然周期
ご自身の排卵に合わせて胚移植をする方法です。
- 診察で排卵日を特定し、初期胚なら排卵の3日後、胚盤胞なら排卵の5日後が胚移植日となります。
- ホルモンのサポートとして、卵胞ホルモン・黄体ホルモンの少量の使用があります。
- ホルモン補充周期と比べ使用薬剤が少なく、周産期のリスクが低い傾向にありますが、排卵が正常に起こらなかった、移植日がちょうど休診日にあたるなどの理由で胚移植がキャンセルになる可能性があること、排卵日を特定するために通院回数が多くなる場合があること、排卵日から移植日が自動的に決まるため通院の日程調整がしづらいデメリットがあります。
Step7 黄体補充
新鮮胚移植でも凍結融解胚移植でも妊娠に必要なホルモンを補充し、胚が着床しやすくします。安全性の高い天然型ホルモンを優先して使用しています。
Step8 妊娠判定
胚移植移植日から7〜10日(移植胚の日齢によって異なります)で妊娠の有無を正確に判定するために、hCGを血液検査で調べて判定します。